Smile Gallery
Sound Orthodontics – Before and After
Incredible results and inspiring journeys; see some of our patients’ before and after photos. Â All images are actual cases that were treated by Dr. Jack and Dr. Kortne.

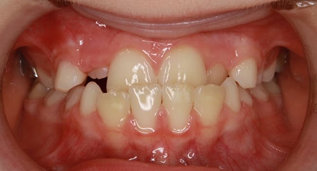
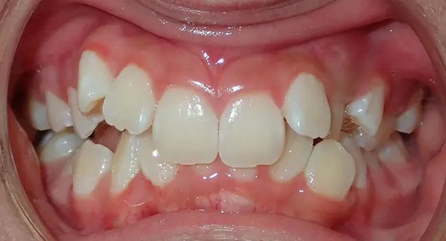
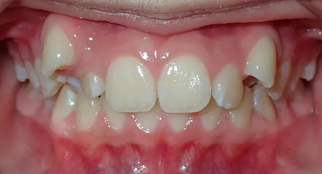
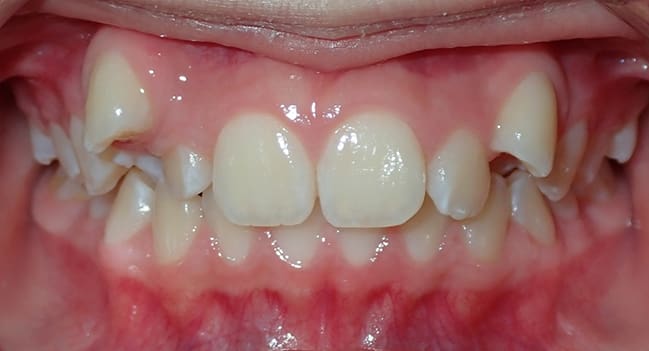
Before

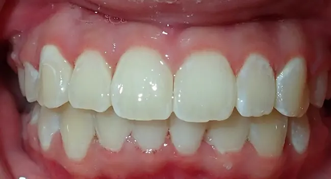
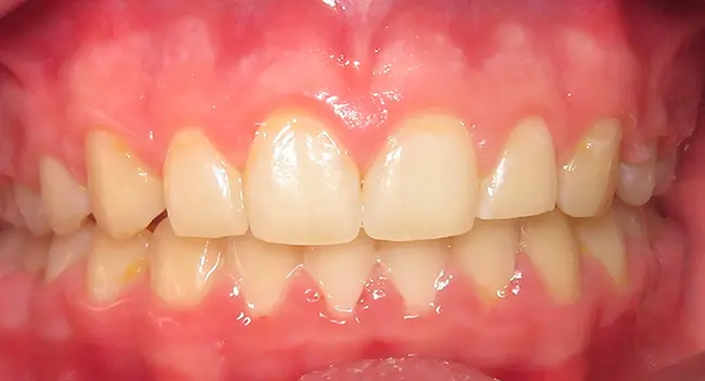
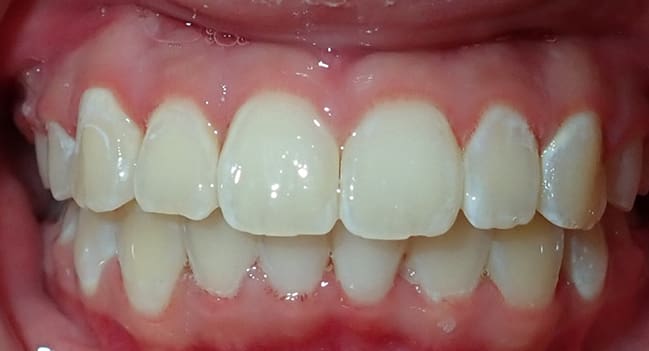
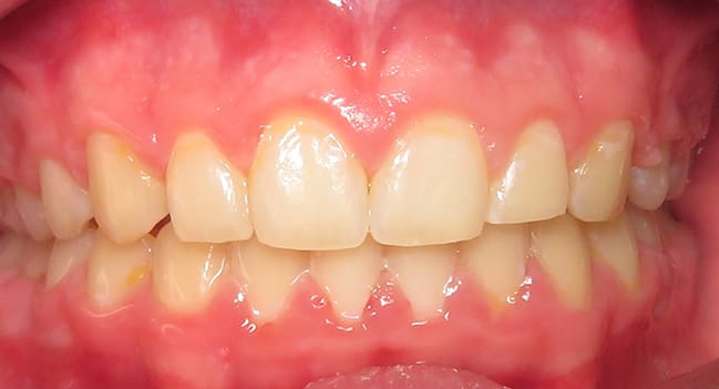
After

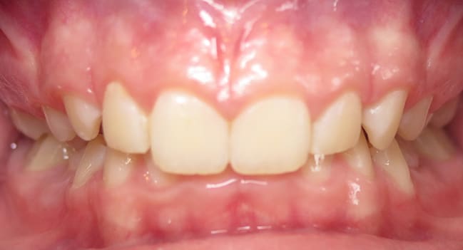
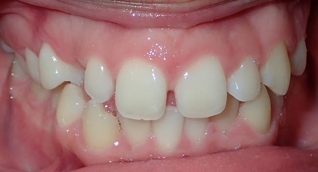
Before

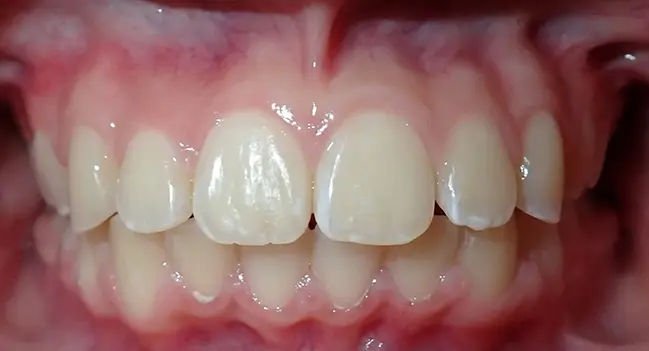
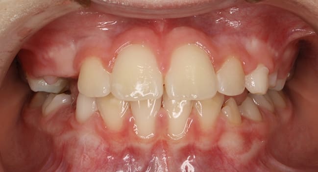
After

Before

After

Before

After

Before

After

Before

After

Before

After

Before

After

Before

After

Before
